Bệnh viện Bãi Cháy: Nút mạch chấm dứt ho ra máu do giãn động mạch phế quản
Ho ra máu cấp tính do giãn động mạch phế quản là tình trạng cấp cứu nguy hiểm nếu không được thăm khám và điều trị kịp thời bệnh nhân có thể tử vong do suy hô hấp hoặc mất máu. Vừa qua, các bác sĩ Bệnh viện Bãi Cháy đã thực hiện kĩ thuật nút mạch phế quản cầm máu thành công cho người bệnh bị ho ra máu do lao phổi. Đây là kĩ thuật cao, ít xâm lấn giúp người bệnh thoát nguy kịch, phục hồi nhanh chóng.
Ho máu do giãn động mạch phế quản là biến chứng nặng, bệnh có tỉ lệ tái phát cao vì vậy việc điều trị cần được tiến hành cẩn trọng. Nếu không được điều trị kịp thời, người bệnh có thể tử vong do suy hô hấp hoặc sốc mất máu. Điều trị ho ra máu nặng và kéo dài có thể thực hiện bằng nội soi phế quản cầm máu, phẫu thuật kẹp cầm máu, cắt thùy phổi hoặc toàn bộ một bên phổi...
Tuy nhiên các phương pháp này tồn tại hạn chế như: Nội soi phế quản khó thấy được vị trí đang chảy máu và nguồn chảy máu từ tiểu thùy, thuốc cầm máu tại chỗ đôi khi không hiệu quả trong trường hợp chảy máu nhiều. Phương pháp phẫu thuật xâm lấn nhiều, khó áp dụng với trường hợp chảy máu từ hai bên phổi, bệnh nhân trải qua đại phẫu cắt thùy phổi nặng nề, tiềm ẩn tai biến chảy máu, thời gian hồi phục dài ngày. Vì vậy, phương pháp can thiệp nút mạch hiện đại, xâm lấn tối thiểu có thể hạn chế các biến chứng, điều trị ho ra máu hiệu quả, mang lại sự an toàn cho người bệnh.

Can thiệp nút mạch tại Bệnh viện Bãi Cháy
Bệnh nhân nam Nguyễn M H (40 tuổi, trú tại TX Đông Triều, tỉnh Quảng Ninh) có tiền sử lao phổi cách đây 10 năm đã điều trị đủ phác đồ. Bệnh nhân thường ho máu rải rác nhiều lần trong năm. Bệnh nhân chuyển cấp cứu tại Bệnh viện Bãi Cháy với tình trạng ho ra máu khoảng 200-300ml, đau ngực, khó thở, mạch nhanh, da niêm mạc nhợt. Hình ảnh chụp CT ngực cho thấy giãn động mạch phế quản trái, giãn phế quản thùy trên phổi trái. Qua thăm khám lâm sàng, cận lâm sàng, các bác sĩ đã hội chẩn và kết luận ho ra máu do giãn động mạch phế quản trái/ giãn phế quản trên nền lao phổi cũ.

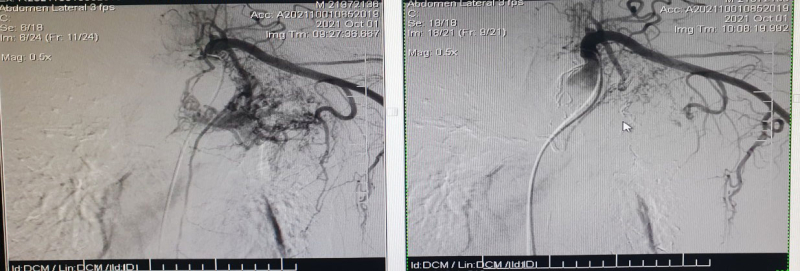
Hình ảnh nút động mạch phế quản trước (bên trái) và sau can thiệp (bên phải) trên màn hình DSA
Bệnh nhân được chỉ định can thiệp nút mạch xử trí tình trạng ho ra máu dưới hướng dẫn của hệ thống số hóa xóa nền DSA. Đánh giá về ca can thiệp, Bác sĩ Lê Tiến Hưng – Khoa Chẩn đoán hình ảnh, Bệnh viện Bãi Cháy cho biết: “Đây là ca tổn thương mạch máu rất phức tạp, có nhiều mạch máu ở các vị trí khác nhau cấp máu cho phế quản bị tổn thương (bao gồm động mạch phế quản trái, nhánh động mạch thuộc động mạch vú trong bên trái, nhánh động mạch thuộc thân giáp cổ bên trái, nhánh động mạch thuộc động mạch dưới vai trái). Chúng tôi đã xử trí nút mạch thành công các nhánh mạch tổn thương, kiểm soát được tình trạng ho ra máu cho người bệnh. Với kĩ thuật này, bệnh nhân chỉ cần gây tê tại chỗ, vẫn tỉnh táo trong quá trình can thiệp, phục hồi sức khỏe nhanh chóng chỉ sau 24 theo dõi”.

Bệnh nhân được điều trị nội khoa sau can thiệp tại Khoa nội hô hấp và hồi phục sức khỏe tốt
Ngay sau can thiệp, bệnh nhân được chuyển điều trị nội khoa tại Khoa Nội hô hấp – Bệnh viện Bãi Cháy để ngăn chặn và dự phòng tái phát ho ra máu. Hiện tại sức khỏe bệnh nhân ổn định và được xuất viện.
Nút mạch cầm máu cấp cứu là phương pháp điều trị xâm lấn tối thiểu an toàn, hiệu quả, tiên tiến, được ứng dụng phổ biến trên thế giới và các bệnh viện tuyến trung ương, đòi hỏi bác sĩ điện quang can thiệp phải có kĩ năng chuyên sâu, bài bản và thiết bị y tế hiện đại, đồng bộ để giúp bệnh nhân tránh được các cuộc đại phẫu với nguy cơ tử vong cao do mất máu, thời gian điều trị dài ngày và chi phí lớn. Trước đó, Bệnh viện Bãi Cháy đã nút mạch cấp cứu thành công nhiều ca bệnh “nguy kịch” do chấn thương như vỡ gan, vỡ lách, vỡ thận… giúp bệnh nhân không phải trải qua đại phẫu nguy hiểm, nâng cao tỉ lệ cứu sống người bệnh.
Mạc Thảo - Lê Tiến Hưng - Út Trang
